• abhijit.telkhade90@gmail.com

  • +91 7773950110

  • Sat - Thu: 8:00 am - 7:00 pm

Image

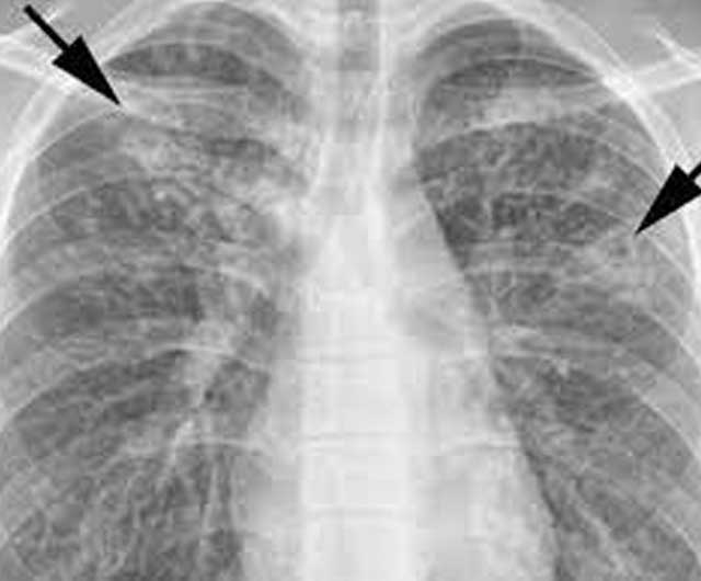
Pulmonary Koch's / Extra-Pulmonary Koch's (TB) and MDR TB

Tuberculosis, MTB, or TB (short for tubercle bacillus) is a common, and in many cases lethal, infectious disease caused by various strains of mycobacteria, usually Mycobacterium tuberculosis. Tuberculosis typically attacks the lungs, but can also affect other parts of the body. It is spread through the air when people who have an active TB infection cough, sneeze, or otherwise transmit respiratory fluids through the air.

Most infections are asymptomatic and latent, but about one in ten latent infections eventually progresses to active disease which, if left untreated, kills more than 50% of those so infected. The classic symptoms of active TB infection are a chronic cough with blood-tinged sputum, fever, night sweats, and weight loss (the latter giving rise to the formerly prevalent term "consumption"). Infection of other organs causes a wide range of symptoms.

Image

Diagnosis of active TB relies on radiology(commonly chest X-rays), as well as microscopic examination and microbiological culture of body fluids. Diagnosis of latent TB relies on the tuberculin skin test (TST) and/or blood tests. Treatment is difficult and requires administration of multiple antibiotics over a long period of time. Social contacts are also screened and treated if necessary. Antibiotic resistance is a growing problem in multiple drug-resistant tuberculosis (MDR-TB) infections. Prevention relies on screening programs and vaccination with the bacillus Calmette–Guérin vaccine